Um homem morreu nos Estados Unidos após contrair uma infecção causada pela ameba Naegleria fowleri , conhecida como 'comedora de cérebros' . Ele foi infectado ao usar água da torneira para enxaguar o rosto e lavar o nariz .
O caso aconteceu no dia 20 de fevereiro, segundo a Fox 4. Três dias antes, departamento de saúde dos EUA emitiu um alerta à população sobre a infecção.
Segundo o departamento, a infecção é rara e acontece somente quando a água contaminada com a ameba entra pelo nariz. A infecção não ocorre bebendo água da torneira, por exemplo.
Este é o primeiro caso na Flórida em que uma pessoa contrai a doença através da água da torneira, segundo o Centro de Controle e Prevenção de Doenças (CDC). É também o primeiro caso da Naegleria fowleri em 2023.
Até o momento, os casos de infecção pela ameba concentram-se no sul do país, mais especificamente no Texas e na Flórida, com 39 e 37 casos, respectivamente.
Segundo o CDC, a ameba normalmente vive em corpos quentes de água doce, como lagos, rios e fontes termais. Também é possível encontrá-las vivendo em sedimentos no fundo de lagos, lagoas e rios, por isso, o departamento não indica tocar no solo em água doce rasa e quente.
Sintomas
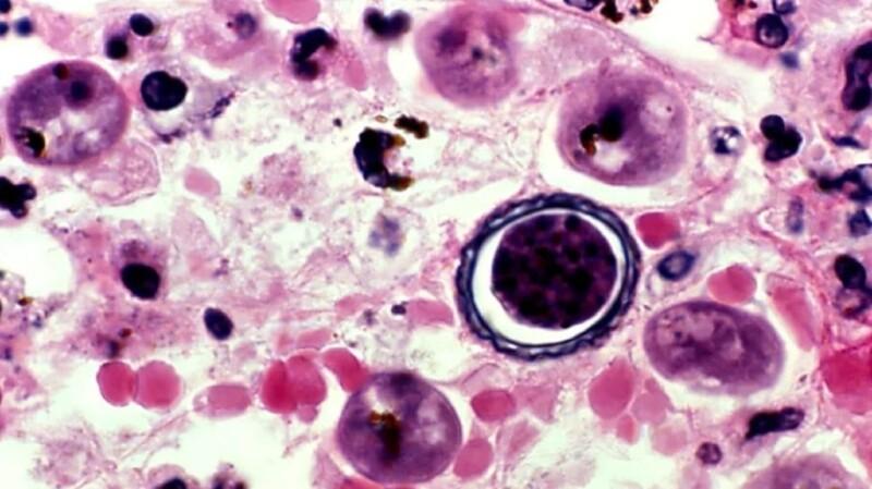
A Naegleria fowleri infecta as pessoas quando a água sobe pelo nariz e ataca o nervo olfativo, percorrendo uma curta distância até chegar ao cérebro, onde se alimenta dos tecidos cerebrais.
Os primeiros sintomas são geralmente dor de cabeça, febre, náuseas, vômitos e rigidez no pescoço. Entretanto, nos estágios posteriores, que evoluem em dias, podem progredir para convulsões, alucinações e um estado mental alterado.
Fonte: IG SAÚDE
RECEBA DIARIAMENTE NOSSAS NOTÍCIAS NO WHATSAPP! GRUPO 1 - GRUPO 2


